Dental Blog

Dental Technology

What Is a Dental Bridge?

Dental bridges fill gaps in your smile with natural-looking results. Learn types, benefits, and options.

Read more →
Dental Health
Why Do Root Canals Treatment Fail?

Root canal treatment can sometimes fail due to hidden canals, cracks, or reinfection. Know the signs, retreatment options, and how to protect your tooth.

Read more →
Dental Health
Cracked Tooth Syndrome: Causes, Symptoms and Treatments

Learn how cracked tooth syndrome is diagnosed and treated to protect long-term oral health.

Read more →
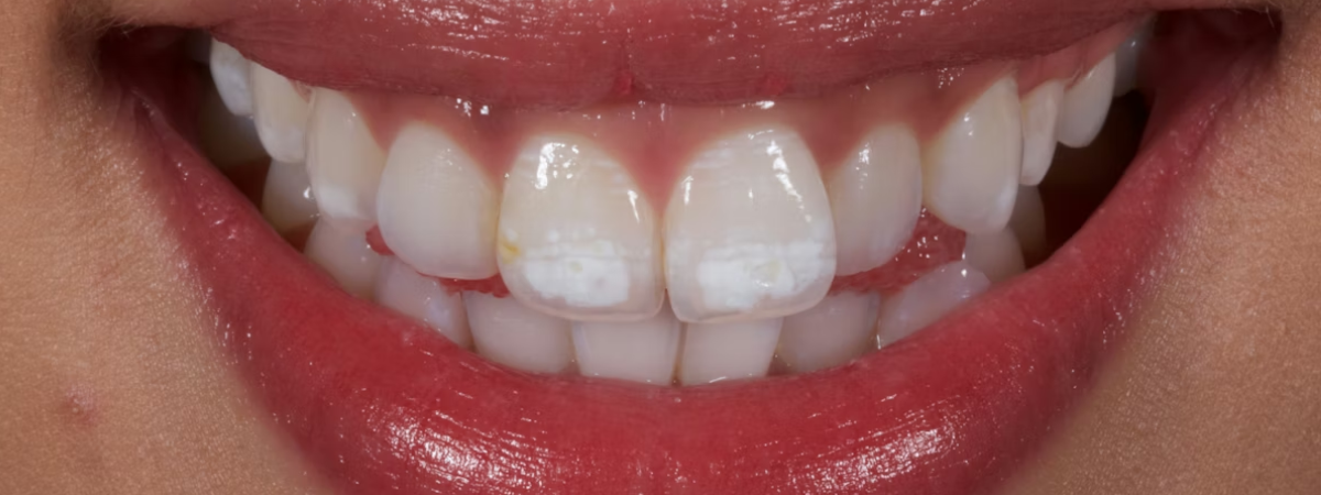
Dental Health
ICON Treatment for White Spot Lesions: A Minimally Invasive Solution

Discover ICON treatment for white spot lesions — a painless, drill-free solution that blends enamel for a smooth, natural smile. Learn how ICON works, its benefits, and why it’s the best alternative to whitening or veneers.

Read more →
Dental Health

10 Weird and Fun Dental Facts You Probably Didn’t Know

Discover 10 fascinating dental facts — from enamel strength to the story of the Tooth Fairy.

Read more →
Dental Technology
Charcoal Toothpaste: Is It Really Safe for Your Teeth?

Charcoal toothpaste may remove stains, but is it safe? Learn benefits, risks, and dentist-approved advice.

Read more →
Dental Health
Teeth Whitening in Ras Al Khaimah: Achieve a Brighter Smile

Brighten your smile with professional teeth whitening at Julphar Dental Clinic. Safe, effective, lasting results.

Read more →
Dental Health
Save It or Remove It? How to Decide & Why It’s Ultimately Your Call?

Should you save or remove a damaged tooth? Learn when root canals, crowns, or extractions are the best choice for your long-term dental health.

Read more →