Dental Blog

Dental Health

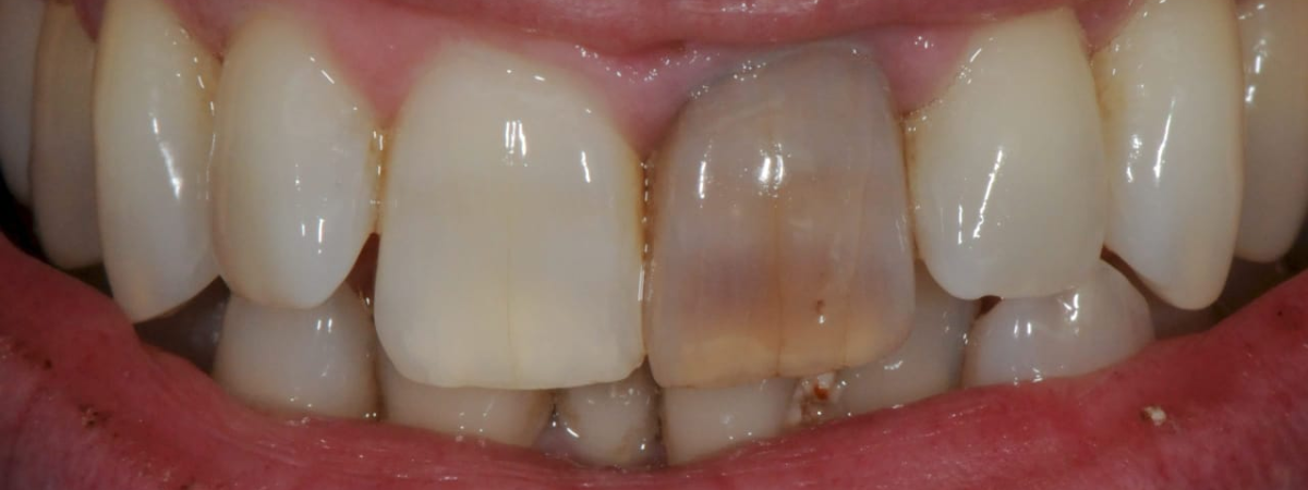
Common Endodontic Mishaps During Root Canal Treatment – Types, Causes, and Prevention

Learn about common endodontic mishaps during root canal treatment, their types, causes, and how to manage or prevent them for successful outcomes.

Read more →
Dental Health
Dental Pain Causes, Types, and When to See a Dentist

Discover the most common causes of dental pain, types of toothaches, and when it's time to see a dentist for proper diagnosis and treatment.

Read more →
Dental Health
Dental Ceramic Onlays vs. Crowns: What’s the Difference and Which Is Right for You?

Learn the key differences between dental ceramic onlays and crowns, and how to choose the right treatment for your specific dental needs.

Read more →
Dental Health
Adhesive & Biomimetic Dentistry: The Future of Saving Teeth

Explore the cutting-edge world of adhesive and biomimetic dentistry—where science meets art to preserve teeth and restore smiles.

Read more →
Dental Health

GBT by EMS: The Future of Comfortable and Effective Teeth Cleaning

Experience pain-free, effective dental cleanings with Guided Biofilm Therapy (GBT) by EMS. Learn how this modern technique removes plaque and stains gently while improving oral hygiene.

Read more →
Dental Health
Bruxism and Bite Splints: What’s the Difference Between a Michigan Splint and a Nightguard?

Waking up with jaw pain or headaches? You might have bruxism. Learn the difference between a Michigan splint and a standard nightguard—and which is best for your teeth grinding or TMJ symptoms.

Read more →
Dental Health
How to Make Your Child Love the Dentist

Discover how to make dental visits positive for your child. Learn tips for stress-free, child-friendly dental care at Julphar Dental Clinic in Dubai.

Read more →
Dental Health
Silent Damage: What You Need to Know About Dental Trauma with No Visible Symptoms

A tooth injury without pain or cracks can still cause serious internal damage. Learn the warning signs and why early dental checkups matter.

Read more →